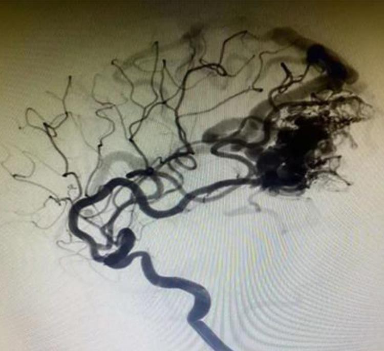
লাভা -12 ইন্ট্রাক্রানিয়াল অ্যানিউরিজমস তরল এম্বোলিক সিস্টেম
লাভা যখনটিএমইন্ট্রাক্রানিয়াল অ্যানিউরিজমস লিকুইড এম্বোলিক সিস্টেম রক্ত বা জলীয় সমাধানের সাথে যোগাযোগ করছে, এর পৃষ্ঠটি তত্ক্ষণাত দৃ ified ় হবে এবং একটি প্রতিরক্ষামূলক ফিল্ম গঠন করবে। এম্বোলিক এজেন্টের ডিএমএসও রক্তে মিশ্রিত এবং বিচ্ছুরিত হয়, যাতে এভোহ দ্বারা মোড়ানো ট্যানটালাম পাউডারটি বাইরে থেকে অভ্যন্তরে অভ্যন্তরে দৃ ified ় হয় এবং দৃ ified ় হয়। একই সময়ে, লাভা ইনজেকশন চাপের মধ্যে অনেক দূরে ছড়িয়ে দেওয়া হয়। অবশেষে, এটি এম্বোলাইজেশন অবস্থানে একটি স্পঞ্জি এম্বোলিক বডি গঠন করে।

লাভাটিএমঅ্যানিউরিজম এম্বোলাইজেশন সিস্টেমটি অ-আঠালো উপাদান দিয়ে তৈরি, তাই এটি আরও নিরাপদ এবং নন-স্টিক ক্যাথেটার।
এটি লাভা -12, লাভা -18 এবং লাভা -34 এর সম্পূর্ণ পরিসীমা সহ এটি অনন্য নিম্ন-দৃশ্যের সূত্র}
এটি আরও ভাল বিচ্ছুরণ এবং অনুপ্রবেশ আছে। এবং এটি গভীরভাবে ক্ষতটিতে প্রবেশ করতে পারে এবং দূরবর্তী জাহাজে পৌঁছতে পারে।
ট্যানটালাম পাউডারটি আরও সূক্ষ্ম, আরও ধীরে ধীরে বৃষ্টিপাত এবং আরও স্পষ্টভাবে রেডিওগ্রাফি প্রতিযোগীদের সাথে তুলনা করে।

জন্য নোটইন্ট্রাক্রানিয়াল অ্যানিউরিজমস তরল এম্বোলিক সিস্টেম
La লাভা লিকুইড এম্বোলিক এজেন্ট দৃ if ় হয় কিনা তা পর্যবেক্ষণ করুন, যদি তা হয় তবে এটি প্রথমে গলা ফেলা দরকার।
The ভাইব্রেটারে লাভা লিকুইড এম্বোলিক এজেন্ট রাখুন।
● ভাইব্রেটরটিকে উচ্চ স্তরে সামঞ্জস্য করুন।
Thing কাঁপতে কাঁপতে 20 মিনিটেরও কম নয়
That এটি ব্যবহার না হওয়া পর্যন্ত।
|
পণ্য কোড |
সান্দ্রতা |
বিবরণ |
|
লাভা -12 |
12 সিএসটি |
দূরবর্তী মাইক্রোভ্যাসেলসের জন্য নিম্ন সান্দ্রতা, আরও তরল; |
|
লাভা -18 |
18 সিএসটি |
স্ট্যান্ডার্ড সূত্র, সাধারণ ব্যবহার; |
|
লাভা -34 |
34 সিএসটি |
উচ্চ প্রবাহ জাহাজগুলির জন্য উচ্চতর সান্দ্রতা। |











